
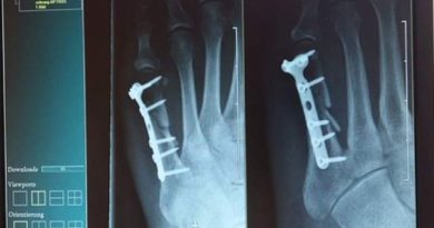
Saiba Tudo Sobre Fraturas E Como Fazer Os Primeiros Socorros O Que É Uma Fratura (Osso Quebrado)? Uma fratura acontece

Conheça Os 10 Indicadores Que De Você Pode Estar Sofrendo de Dores Espirituais O Que É Dor Espiritual? Podemos definir

Dor Emocional, Dor Mental ou Dor Psicológica: Quais As Causas? O Que É Dor Emocional? Dor emocional, dor mental ou

Conheça 6 Maneiras De Lidar Com A Dor Social Gerada Pelo COVID-19 O Que É Dor Social? A dor social,
